Neurochirurgie und Wirbelsäulenchirurgie
Diagnose und Behandlung bei Hirntumoren
Präzise Diagnose als Grundlage
Der erste Schritt zu einer erfolgreichen Behandlung ist eine exakte Diagnose. Mit Hilfe moderner bildgebender Verfahren – insbesondere der Magnetresonanztomographie (MRT) – können wir die Lage, die Grösse und ggf. das Wachstumsverhalten des Tumors im zeitlichen Verlauf genau beurteilen. In bestimmten Fällen ergänzen wir die Bildgebung durch eine Gewebeprobe (Biopsie), um die Art des Tumors sicher zu bestimmen.
Unsere enge Zusammenarbeit mit Onkologie, Strahlenheilkunde, Radiologie, Pathologie, Neurologie und Physiotherapie ermöglicht es uns, schon früh eine individuell abgestimmte Behandlungsstrategie zu entwickeln. Eine wesentliche Rolle spielt dabei die interdisziplinäre Tumorkonferenz.
Operation mit grösstmöglicher Sicherheit
In vielen Fällen stellt die operative Entfernung des Tumors den wichtigsten Therapieschritt dar. Unser erfahrenes neurochirurgisches Team führt solche Eingriffe mit höchster Präzision durch. Wir nutzen dafür modernste Operationsverfahren – etwa bildgestützte Navigationstechnik, hochauflösende Mikroskope und neuartige Methoden zur Überwachung wichtiger Hirnfunktionen während des Eingriffs.
Ziel ist es stets, so viel Tumorgewebe wie möglich zu entfernen und dabei gesunde Hirnstrukturen bestmöglich zu schonen. Wir gewährleisten dank unserer technischen Ausstattung und unserer Expertise exakte Tumorentfernungen auf höchstem Niveau.

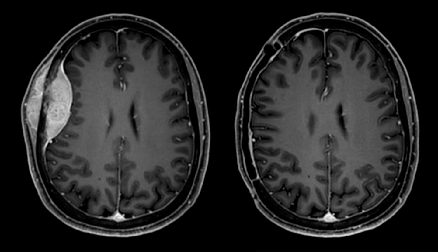
Meningeom vor Operation (links) und nach Entfernung (rechts).

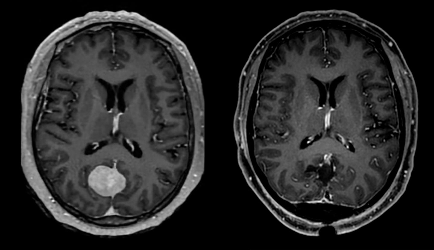
Metastase vor Operation (links) und nach Entfernung (rechts).

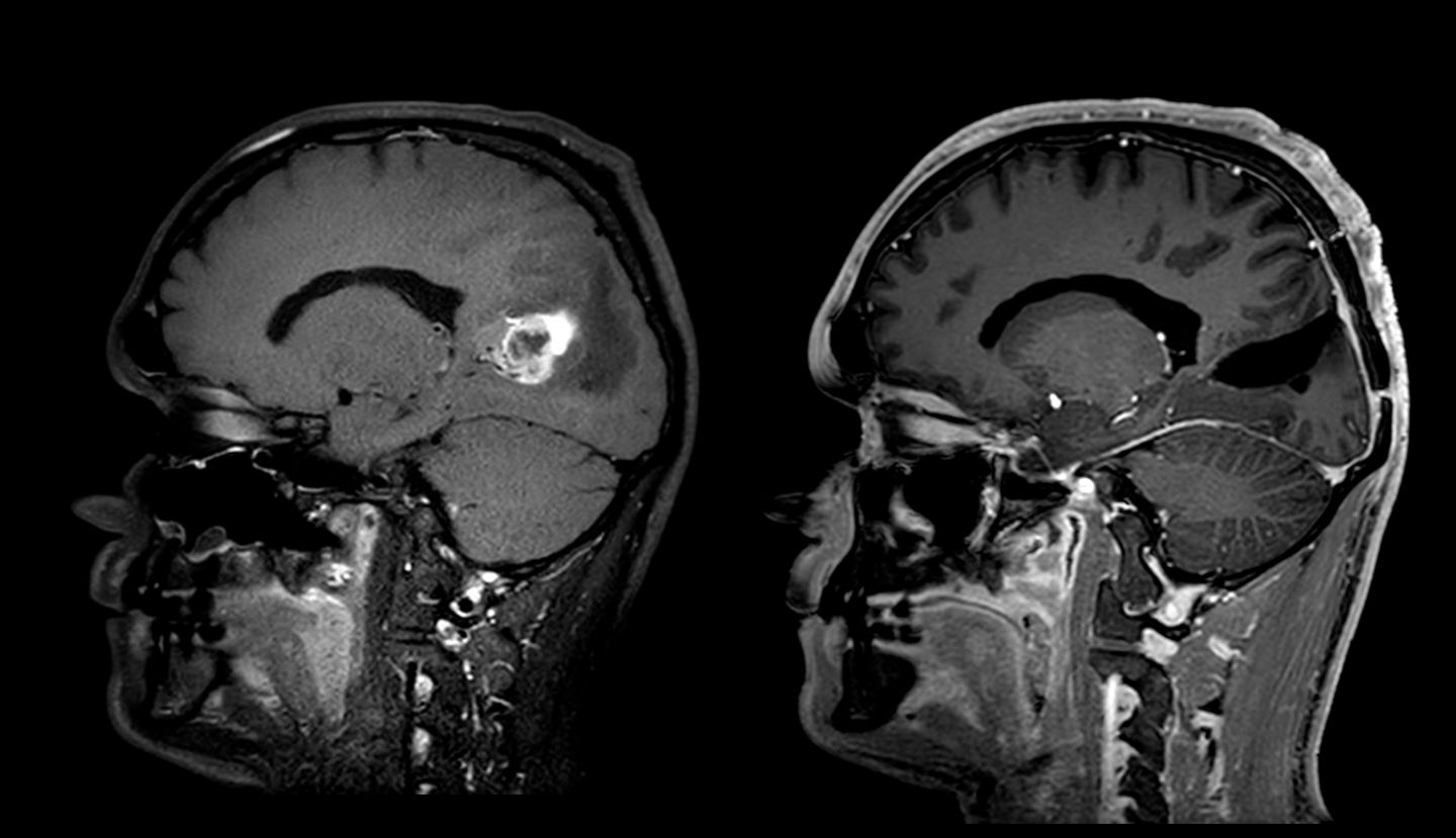
Glioblastom vor Operation (links) und nach Entfernung (rechts).
Ergänzende Behandlungsformen
Mitunter ist eine Nachbehandlung erforderlich, etwa wenn der Tumor bösartig ist oder nicht vollständig entfernt werden konnte. Hier können mehrere Verfahren zum Einsatz kommen, die alle zum Ziel haben, verbliebene Tumorzellen am Wachstum zu hindern:
- Strahlenbehandlung
- medikamentöse Tumortherapie, einschliesslich Chemotherapie
- elektrische Wechselfeldtherapie (insbesondere beim Glioblastom)
Die Therapien werden individuell geplant und in enger Abstimmung mit den behandelnden Fachärztinnen und -ärzten anderer Disziplinen durchgeführt.
Persönliche Begleitung bei jedem Schritt
Neben der medizinischen Versorgung legen wir besonderen Wert auf eine persönliche und transparente Begleitung unserer Patientinnen und Patienten. Wir nehmen uns Zeit für Ihre Fragen und erklären jeden Behandlungsschritt verständlich und nachvollziehbar. Unsere Klinik vereint langjährige Erfahrung, modernste Technik und ein hohes Mass an Einfühlungsvermögen – damit Sie sich in einer schwierigen Situation gut aufgehoben wissen.
