Diagnostische Radiologie
Neuroradiologie
Was versteht man unter dem Begriff «Diagnostische Neuroradiologie»?
Die diagnostische Neuroradiologie ist ein hochspezialisiertes Teilgebiet der Radiologie, das sich mit der Bildgebung und Diagnostik von Erkrankungen des zentralen und peripheren Nervensystemes beschäftigt. Dazu gehören Erkrankungen von Gehirn, Rückenmark und Nerven (Hirnnerven und peripheren Nerven) sowie der umgebenden Strukturen wie dem Schädel, Gesichtsschädel inkl. Augen und Nasennebenhöhlen, Hals, Wirbelsäule und Gefässe. Mit Hilfe modernster Technologien wie der Magnetresonanztomographie (MRT), der Computertomographie (CT) und speziellen angiographischen Verfahren (CT-Angiographie und MR-Angiographie) können die Erkrankungen und Verletzungen des zentralen Nervensystems (ZNS) präzise untersucht werden.

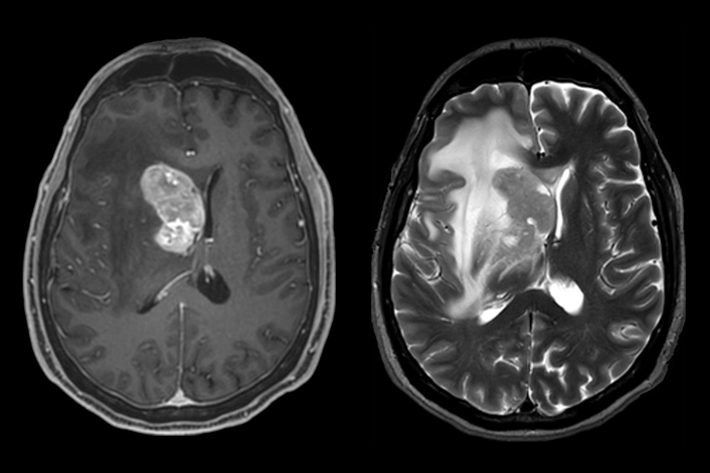
Neuroradiologische Diagnostik eines Gehirntumors mittels Magnetresonanztomographie (MRT)
Wer führt diagnostisch neuroradiologische Untersuchungen durch ?
Unsere Experten und Expertinnen in Neuroradiologie sind hochspezialisierte Fachärztinnen und Fachärzte mit einer Ausbildung in Radiologie und zusätzlicher Spezialisierung in Neuroradiologie. Unsere Fachärztinnen und Fachärzte haben langjährige Erfahrung in der Diagnostik von Erkrankungen an Kopf und Rückenmark.
Zudem sind wir auch in der Forschung aktiv, wodurch unsere Abklärungsmethoden immer auf dem neusten Kenntnisstand basieren.
Unser Radiologie-Team ist im Notfall rund um die Uhr für unsere Patientinnen und Patienten da. Dies ist besonders wichtig bei der Bildgebung von Schlaganfällen, Hirnverletzungen nach einem Unfall, Infektionen, unklarem Bewusstseinsverlust oder epileptischen Anfällen. Komplexe Erkrankungen werden im interdisziplinären Team in sogenannten Boards besprochen, damit alle Aspekte der Erkrankung diskutiert werden können. Damit wird eine optimale Behandlung für jede einzelne Patientin und jeden einzelnen Patienten sichergestellt.
Diagnostizierte Krankheiten
In der diagnostischen Neuroradiologie werden eine Vielzahl von Erkrankungen des Nervensystems untersucht, darunter:
Gefäss-Erkrankungen
- Schlaganfall (ischämisch oder hämorrhagisch)
- Blutungen
- Aneurysmen
- Arteriovenöse Missbildungen (z.B. AVM)
Tumoren
- Gliome, Meningeome, Lymphome und Metastasen
- Tumoren des Rückenmarks oder der Schädelbasis
Neurodegenerative Erkrankungen
- Morbus Alzheimer und andere Demenzformen
- Parkinson Erkrankung
Traumatische Verletzungen
- Schädel-Hirn-Trauma
- Wirbelsäulenfrakturen
- Verletzungen des Augapfels
- Frakturen der Gesichtsschädelknochen
- Verletzungen der peripheren Nerven
Entzündliche Erkrankungen
- Meningitis und Enzephalitis
- Hirnabszesse
- Autoimmunerkrankungen
- Multiple Sklerose
Entwicklungsstörungen und Fehlbildungen
- Hydrozephalus (Wasserkopf)
- Chiari-Malformationen
- Missbildungen von Rückenmark und Wirbelsäule
Degenerative Erkrankungen der Wirbelsäule
- Einengung des Spinalkanales
- Bandscheibenvorfälle
Wie werden neuroradiologische Untersuchungen durchgeführt?
Je nach Fragestellung kommen unterschiedliche bildgebende Verfahren zum Einsatz:
MRT (Magnetresonanztomographie)
Ohne Strahlung werden mit Hilfe eines starken Magnetfeldes detaillierte Bilder (sogenannte Sequenzen) von Gehirn, Rückenmark, Nerven, Weichteilen und Knochen erstellt.

Detaillierte MRT-Untersuchung zur Darstellung eines Tumors in der Ohrspeicheldrüse (Parotisdrüse).

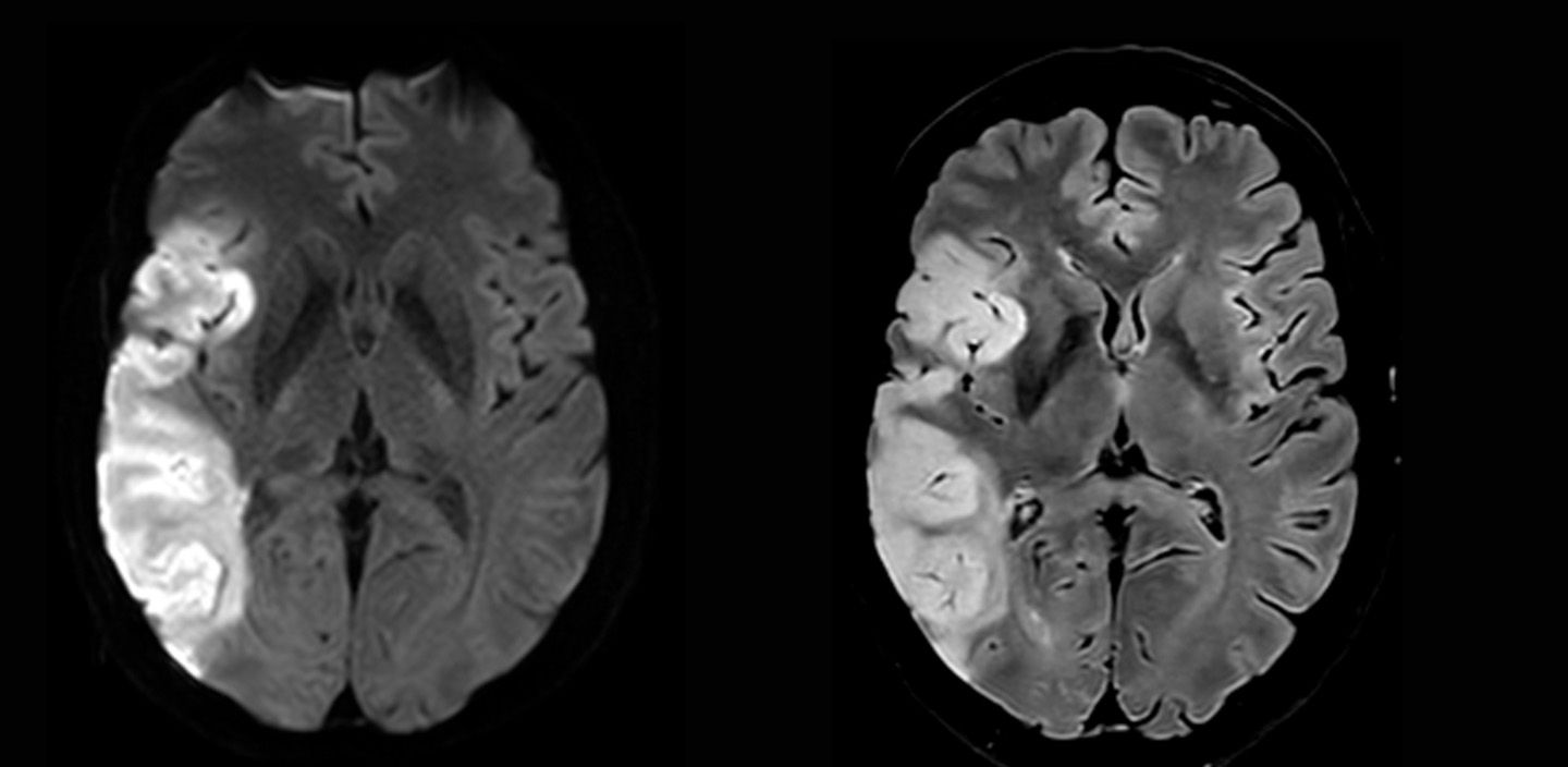
Neuroradiologische Diagnostik eines Schlaganfalls mittels Magnetresonanztomographie (MRT)
CT (Computertomographie)
Es werden Röntgenstrahlen verwendet, um schnelle und präzise Aufnahmen, insbesondere von Weichteilen und Knochen, zu erhalten. Diese Technik ist entscheidend für die sehr rasche und gezielte Abklärung von Schlaganfällen, Hirnverletzungen nach Unfällen bei unklarer Bewusstlosigkeit. Mit Hilfe der Spektraltechnologie können nicht nur die Anatomie und die einzelnen Organe, sondern auch die individuelle Zusammensetzung von Gewebe ermittelt werden, so dass z.B. zwischen Blut, Verkalkung und Kontrastmittel zuverlässig unterschieden werden kann.
CT oder MR Angiographie
Diese Verfahren erlauben es, die Blutgefässe darzustellen, um Engstellen, Aneurysmen oder andere Gefässveränderungen inkl. Analyse der Zusammensetzung von Gefässplaques (Ablagerungen) zu erkennen.
Bedeutung der diagnostischen Neuroradiologie
Die präzise Bildgebung des Nervensystems ist unverzichtbar für die Früherkennung von Krankheiten und die Planung therapeutischer Massnahmen. Die diagnostische Neuroradiologie leistet dabei einen zentralen Beitrag zur Entscheidungsfindung bezüglich Diagnose und Therapie und somit zur interdisziplinären Zusammenarbeit mit anderen Fachbereichen wie der Neurologie, Neurochirurgie, Hals-Nasen-Ohren-Heilkunde, Augenheilkunde oder Onkologie.
Mit den Fortschritten in der Technik, wie der KI-gestützten Bildanalyse, erweitert die diagnostische Neuroradiologie kontinuierlich ihre Möglichkeiten und verbessert die Genauigkeit der Diagnosen durch automatisierte Auswertungen (z.B. automatisierte Auswertung der Hirnvolumina bei Demenzabklärung; automatisierte Auszählung von Krankheitsläsionen bei multipler Sklerose).


